Diseño de Sonrisa con Carillas de Alta Estética
Una sonrisa que se ve natural, armónica y segura bajo Críterio Clínico.
No todos los casos requieren intervención, por ello la evaluación es primordial.
💎 Evaluamos cada sonrisa desde la estructura facial, proporciones y proyección a largo plazo.
Algunas ingresan al protocolo. Otras no
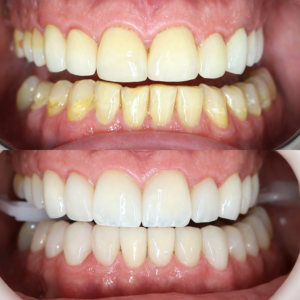
💎 Nuestro Diseño de Sonrisa no es un cambio estético improvisado
💎 ¿Quiénes son los posibles Candidatos?
💎 Resultados reales y precisos
Nuestro enfoque prioriza la naturalidad y elegancia sobre un impacto inmediato.
El Objetivo no es que se note el tratamiento, sino que se perciba la armonía.
💎 ¿Qué hace distinto nuestro enfoque?
💎 Disponibilidad y Agendamiento
Limitamos el número de casos activos por jornada para mantener la precisión en cada Diseño.
La disponibilidad y agendamiento está sujeta a la evaluación clínica presencial.
📲 Si sientes que es el momento adecuado, puedes solicitar una evaluación.
Si tienes dudas o consultas, por favor Haz clic en el botón de WhatsApp y nuestro equipo revisará tu caso de manera eficaz para validar si es viable realizar el tratamiento.
¡En Clínica Nácar contamos con Protocolos especiales!
¿Quieres ver los Packs de Armonización Facial completa?
Lee las experiencias de nuestros pacientes satisfechos y descubre por qué somos la mejor opción para tu Diseño de Sonrisa
EXCELENTE A base de 23 reseñas Publicado en Gerald Maximiliano Espinoza Orellana13/01/2024Trustindex verifica que la fuente original de la reseña sea Google. Mi experiencia fue muy agradable y las personas que me atendieron fueron muy amables y profesionales. Fue muy grato realizarme este procedimiento con ustedes. Recomendado al 1000%Publicado en Pablo Reaño11/01/2024Trustindex verifica que la fuente original de la reseña sea Google. Me encantó la atención de las doctoras y todo lo relativo al procedimiento.Publicado en Karla Diaz11/01/2024Trustindex verifica que la fuente original de la reseña sea Google. Súper profesionales , gracias por su rapidez y eficacia. Tuve un problema con mi Corona y endodoncia durante mi visita a Chile , que gracias a la doctora Nathalie no fue a mayores. Gracias !Publicado en Betsy Deternoz10/01/2024Trustindex verifica que la fuente original de la reseña sea Google. Excelente atención y profesionalismo. Altamente recomendado y no dudaría en volver en caso de requerirloPublicado en Kianzi Urbina09/01/2024Trustindex verifica que la fuente original de la reseña sea Google. Excelente atención y gran profesionalismo. GraciasPublicado en Keydy Rodriguez09/01/2024Trustindex verifica que la fuente original de la reseña sea Google. Excelentes profesionales y excelente trato. Super recomendado!!!Publicado en Martha Otero08/01/2024Trustindex verifica que la fuente original de la reseña sea Google. Muy profesionales. Excelente atención!Publicado en Beatriz Gomez Martinez08/01/2024Trustindex verifica que la fuente original de la reseña sea Google. Atención profesional excelente y buen trato al paciente recomendado 👍
Encuentra respuestas a las preguntas más comunes sobre el Diseño de Sonrisa
Preguntas frecuentes
¿Qué es el diseño de sonrisa con carillas?
El diseño de sonrisa con carillas es un procedimiento estético que utiliza carillas dentales de resina o porcelana para mejorar la apariencia de los dientes. Estas carillas se colocan en la parte frontal de los dientes para corregir imperfecciones y lograr una sonrisa más atractiva.
¿Cuál es la diferencia entre las carillas de resina y las de porcelana?
La principal diferencia radica en el material utilizado. Las carillas de resina están hechas de un compuesto de resina compuesta, mientras que las de porcelana están fabricadas con cerámica. Las carillas de porcelana tienden a ser más duraderas y resistentes a las manchas, pero las de resina son más económicas y pueden ser una opción adecuada en ciertos casos.
¿Para quiénes son adecuadas las carillas de resina?
Las carillas de resina son ideales para personas que desean mejoras estéticas en su sonrisa sin un presupuesto elevado. Son una opción popular para corregir problemas leves a moderados de color y forma dental.
¿Cuándo se recomiendan las carillas de porcelana?
Las carillas de porcelana son más adecuadas para aquellos que buscan resultados a largo plazo y desean corregir problemas más complejos, como decoloración severa, formas dentales irregulares o dientes desalineados.
¿Cómo se coloca una carilla dental?
Tanto las carillas de resina como las de porcelana se colocan mediante un proceso similar. Implica la preparación de los dientes, la toma de impresiones y la colocación de las carillas personalizadas en una segunda cita.
¿Es el procedimiento doloroso?
Por lo general, el proceso de colocación de carillas es indoloro, aunque puede experimentarse una leve sensibilidad dental temporal después del procedimiento.
¿Cuánto tiempo duran las carillas?
Las carillas de resina suelen durar de 5 a 7 años, mientras que las de porcelana pueden durar de 10 a 15 años o más, dependiendo del cuidado y mantenimiento adecuados.
¿Se requiere algún cuidado especial para las carillas?
Las carillas requieren cuidado dental regular, como cepillado y uso de hilo dental. Evitar morder objetos duros o abrir envases con los dientes puede prolongar su vida útil.